
尽管有研究发现未经稀释的和高浓度(75%)的蜂蜜对体外培养的变异链球菌具有抑制作用,但完全看不出有口腔抑菌方面的可行性(没人会“干喝”纯蜂蜜的,齁死人不负责呀~)。而抗菌机理的推测,不论是葡萄糖氧化酶代谢葡萄糖产生有抑菌作用的过氧化氢,还是所含的黄酮类化合物起到抗菌的作用,都不足以支持防龋的说法(能达到有效作用的浓度吗?)。
说再多感觉还是遥远,不如来看看william和他的同事们用大鼠做的实验吧,能让我们对“蜂蜜与龋齿”有更直观的感受。实验比较了蜂蜜(10%的稀释液)、可乐、牛奶和人奶的致龋性,下图是喂食蜂蜜的结果和作为对照的喂食蒸馏水的样本。左图喂蜂蜜的大鼠牙齿,右图喂蒸馏水的大鼠牙齿。
在实际的龋病预防中,“杀菌和抑菌”并非常规措施,勤刷牙、用牙线、用含氟牙膏才是正道。喜欢蜂蜜的话,平时喝喝无妨,像吃完糖那样,做到及时漱口,清洁口腔,就不会带来大的危害。如果为预防龋齿而经常喝,就完全没必要了。
结论谣言粉碎。蜂蜜不防龋,反而具有致龋性。高浓度蜂蜜可能具有一定的抗菌作用,但不等于食用蜂蜜能有预防龋齿的作用。
由于牙神经发炎导致牙齿剧烈疼痛又不方便及时就诊的可以吃少量几次止疼药暂时缓解疼痛,但止疼药不能解决蛀
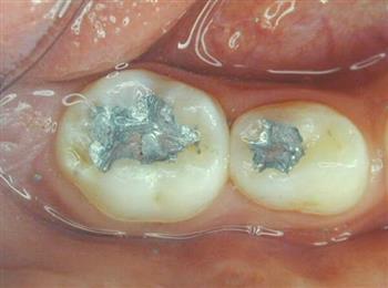
银汞合金充填术对已形成实质性缺损的牙齿,充填术是目前应用最广泛且成效较好的方法,其基本过程为,先去除
它从材质的不同可以分为氧化铝全瓷烤瓷牙和氧化锆全瓷烤瓷牙等,且有国产和进口之分,选择不同的类别,补牙
现在我们生活中确实出现了很多幼儿龋齿的现象,主要是由于我们吃的食物出现了很多问题,我们平时吃的食物都
时间久了,特别是不注意口腔卫生使食物残渣存留在牙面上,细菌可以分解食物中的糖产酸,然后逐渐腐蚀牙齿形
这样做不仅有利于婴儿牙床及牙胚的发育和生长,保持牙面的干净光洁,阻止菌斑的附着,更重要的是可以及早地
涂氟这件事很好很强大,帮孩子涂氟能够达到抑制有害细菌、增强牙齿抵抗力、坚固牙齿、修复蛀牙、减少过敏的
人工喂养则注意应该尽早让宝宝戒掉奶嘴,因为宝宝的口腔长期跟奶瓶的奶嘴儿接触,也会增加细菌感染的机会,
这种获得性膜不仅得以牢固的附着于牙面,而且可以在适宜温度下,有足够的时间在菌斑深层产酸,侵袭牙齿,使
是口腔主要的常见病,也是人类最普遍的疾病之一,世界卫生组织已将其与肿瘤和心血管疾病并列为人类三大重点
龋齿吃什么食物好?如何饮食?龋齿常吃的食物有丝瓜尖、铁观音、丝瓜藤、丝瓜叶、丝瓜尖、铁观音、丝瓜藤、
“对于葡萄汁,我们还没有数据,”加扎尼说,“我们认为,从红葡萄酒得出的研究结果不适用于葡萄汁,因为葡
洁齿防龋吃什么食物好?如何饮食?洁齿防龋常吃的食物有芋头、香芋、槟榔芋、大芋头、小芋头、芋头、香芋、
© Copyright 2013 大厨艺 All rights reserved 版权所有